Aktuelt
5 Tips for å forebygge tannproblemer
God munnhelse starter med riktig pleie og rutiner, både hjemme og hos tannlegen eller tannpleieren. Gode rutiner – hver dag: Riktig tannpuss: [...]
Syreskader og tanngnissing: Slik beskytter du tennene dine
Syreskader og tanngnissing er vanlige tannproblemer blant voksne. Vil du unngå tannskader, er det viktig å vite hvordan du kan forebygge dem. [...]
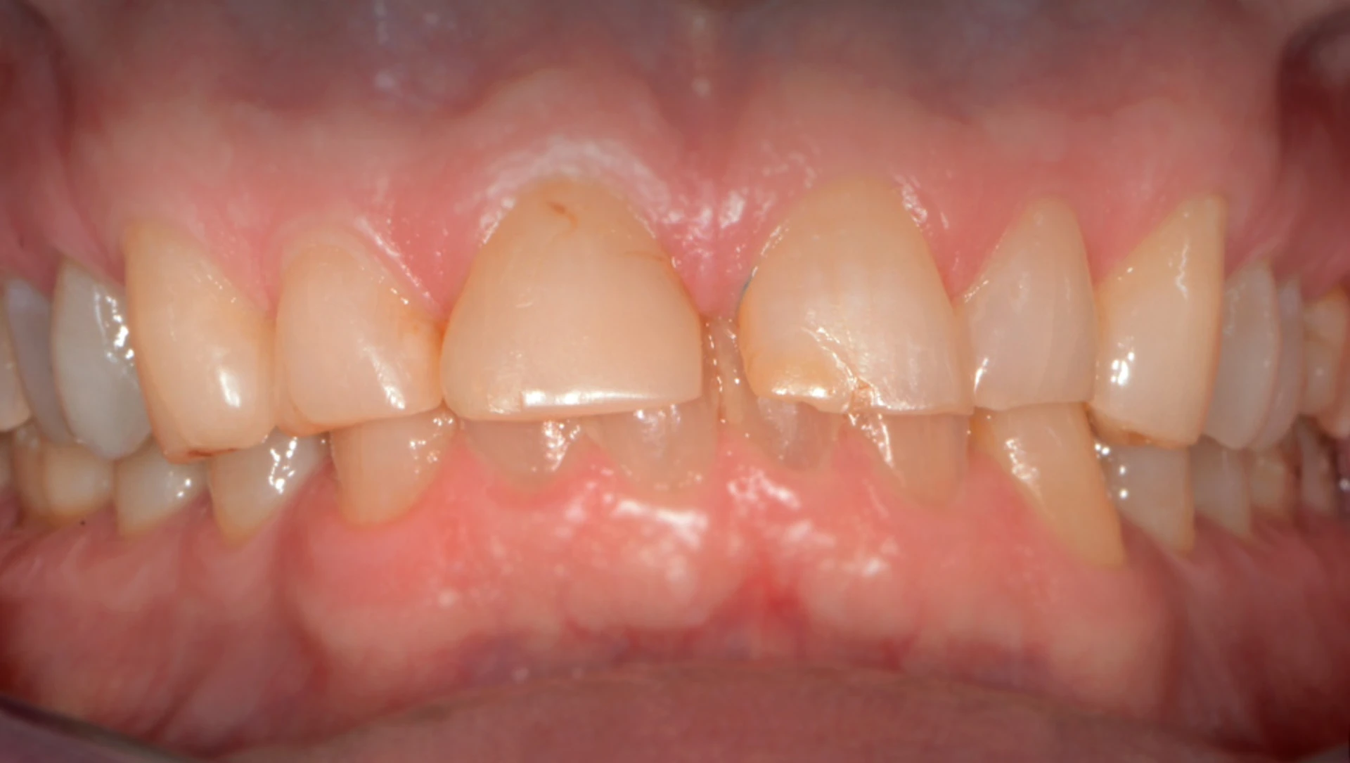
Alt du trenger å vite om tannkroner
Hva er en tannkrone? Har du en tann med mye slitasje og lite gjenværende tannsubstans? Da kan tannlegen anbefale en tannkrone. En [...]
Tannlegeskrekk: Hvordan overvinne frykt og få trygg behandling
Har du «tannlegeskrekk» eller gruer du deg bare litt til å gå til tannlegen? Mange opplever en form for frykt i forbindelse [...]



